HOME > Ä¿¹Â´ÏƼ > ÀÓ»ó°¶·¯¸®

ÀÓ»ó°¶·¯¸®

Á¶È¸¼ö 5092
Ä«Å×°í¸® Ä¡¾Æ±³Á¤
Á¦¸ñ ¼ºÀÎÄ¡¾Æ±³Á¤
ÀÛ¼ºÀÚ ezkim







¼ºÀÎÄ¡¾Æ±³Á¤



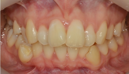
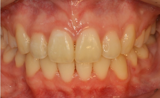
 ÃÑ»ý(Crowding)​

Ŭ¸®ÇǾ¾ ÀÚ°¡°áÂû ÀåÄ¡









[ Before ]









[ After ]