HOME > Ä¿¹Â´ÏƼ > ÀÓ»ó°¶·¯¸®
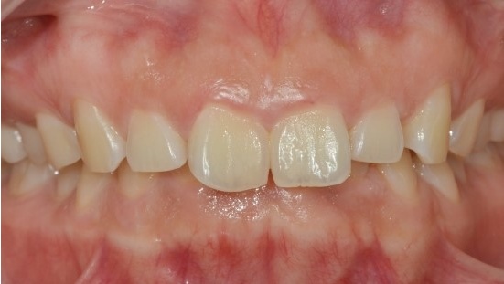
Deep bite Ä¡¾Æ±³Á¤
ÀÕ¸ö ¼ºÇü
Ŭ¸®ÇǾ¾ ÀÚ°¡°áÂû ºê¶óÄÏ
[Ãâó] ´ëÀü±³Á¤Ä¡°ú/ÀÌġŴġ°ú Ä¡¾Æ±³Á¤/°íµîÇлý Ä¡¾Æ±³Á¤/±í°Ô ¹°¸®´Â ¾Õ´Ï(Deep bite)ÀÇ ÀÕ¸ö ¼ºÇü°ú Ä¡¾Æ±³Á¤-Ŭ¸®ÇǾ¾ ÀÚ°¡°áÂû ºê¶óÄÏ|ÀÛ¼ºÀÚ POP