EZKim ¼Ò°³
ÀÓÇöõƮŬ¸®´Ð
Ä¡¾Æ±³Á¤Å¬¸®´Ð
½É¹ÌÄ¡·áŬ¸®´Ð
Ä¡¾Æ°Ç°Å¬¸®´Ð
Ä¿¹Â´ÏƼ
EZKim¸¸ÀÇ Æ¯º°ÇÔ
ÀÇ·áÁø¼Ò°³
Áø·á¾È³»
Àåºñ¼Ò°³
µÑ·¯º¸±â
EZKim¼Ò½Ä
¿À½Ã´Â ±æ
EZKim ÀÓÇöõÆ®
EZKim ÀÓÇöõÆ® Á¾·ù
½Ç¹ö ÀÓÇöõÆ®
º¸Çè ÀÓÇöõÆ®
ÀÓÇöõÆ® ½Ã¼ú°úÁ¤
½Ã¼ú ÈÄ °ü¸®
½Ã¼ú ÀüÈÄ»çÁø
EZKim ±³Á¤
¼ºÀα³Á¤
¼Ò¾Æ/û¼Ò³â±³Á¤
±Þ¼Ó±³Á¤
¼³Ãø±³Á¤
Åõ¸í±³Á¤
½Ã¼úÀüÈÄ»çÁø
EZKim Ä¡¾Æ¼ºÇü
EZKim Ä¡¾Æ¹Ì¹é
EZKim ÀÕ¸ö¼ºÇü
EZKim ÀÕ¸ö¹Ì¹é
½Å°æÄ¡·á
ÃæÄ¡Ä¡·á
ÀÕ¸öÄ¡·á
º¸Ã¶Ä¡·á
¾ð·Ð¼ÓÀÇ ÀÌÁöÅ´
°øÁö»çÇ×
ÀÓ»ó°¶·¯¸®
¾ð·Ð¼ÓÀÇ ÀÌÁöÅ´
°øÁö»çÇ×
ÀÓ»ó°¶·¯¸®
HOME > Ä¿¹Â´ÏƼ > ÀÓ»ó°¶·¯¸®
ÀÓ»ó°¶·¯¸®
µÚ·Î°¡±â
Á¶È¸¼ö
2531
Ä«Å×°í¸®
Ä¡¾Æ±³Á¤
Á¦¸ñ
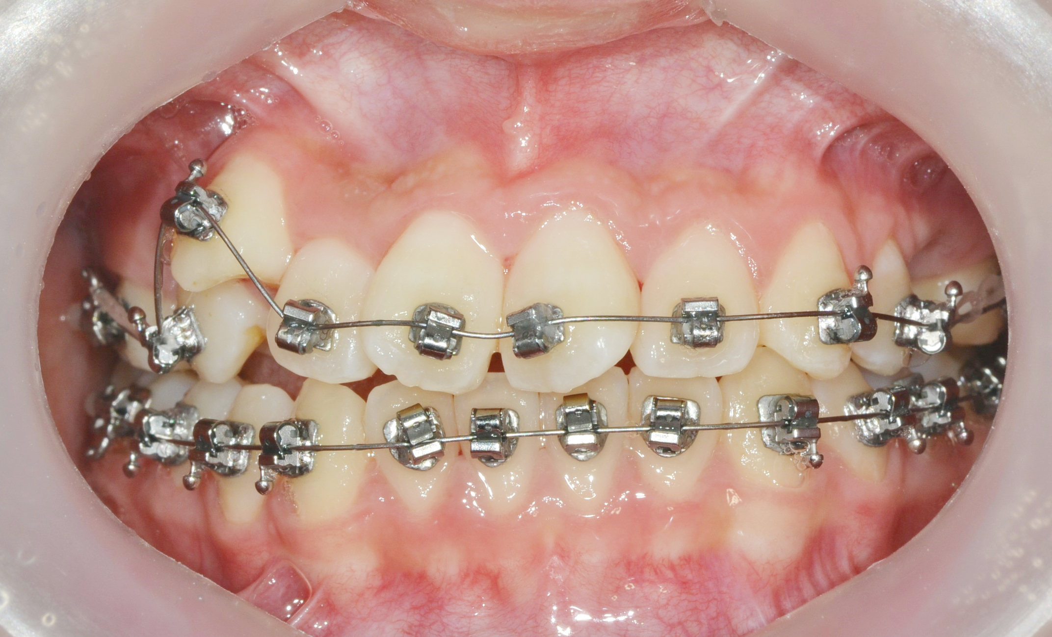
Ä¡¾Æ±³Á¤ Àü ¡¤ ÈÄ »çÁø
ÀÛ¼ºÀÚ
ezkim
½ºÇǵ屳Á¤
EZkim ¼Ò°³
ÀÇ·áÁø¾È³»
Áø·á¾È³»
EZKim¸¸ÀÇ Æ¯º°ÇÔ
Àåºñ¼Ò°³
µÑ·¯º¸±â
¿À½Ã´Â ±æ
ÀÓÇöõÆ® Ŭ¸®´Ð
EZKim ÀÓÇöõÆ®
EZKim ÀÓÇöõÆ® Á¾·ù
ÀÓÇöõÆ® ½Ã¼ú°úÁ¤
½Ã¼ú ÈÄ °ü¸®
Ä¡¾Æ±³Á¤ Ŭ¸®´Ð
EZKim Ä¡¾Æ±³Á¤
EZKim Åõ¸í±³Á¤
EZKim ¾Õ´Ï±³Á¤
EZKim ¼¼¶ó¹Í±³Á¤
EZKim Ä¡¾Æ°ü¸®
EZKim ±³Á¤´ë»ó
½É¹ÌÄ¡·á Ŭ¸®´Ð
EZKim Ä¡¾Æ¼ºÇü
EZKim Ä¡¾Æ¹Ì¹é
EZKim ÀÕ¸ö¼ºÇü
EZKim ÀÕ¸ö¹Ì¹é
Ä¡¾Æ°Ç° Ŭ¸®´Ð
½Å°æÄ¡·á
ÃæÄ¡Ä¡·á
ÀÕ¸öÄ¡·á
º¸Ã¶Ä¡·á
Ä¿¹Â´ÏƼ
¾ð·Ð¼ÓÀÇ ÀÌÁöÅ´
°øÁö»çÇ×
ÀÓ»ó°¶·¯¸®