Àüü
¾Õ´Ï ÀÓÇöõÆ®
¾î±Ý´Ï ÀÓÇöõÆ®
Àüü ÀÓÇöõÆ®
»ÀÀÌ½Ä ÀÓÇöõÆ®
±³Á¤À» µ¿¹ÝÇÑ ÀÓÇöõÆ®
Ä¡Á¶°ñÀÌ½Ä ÀÓÇöõÆ®
Ä«Å×°í¸®
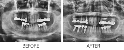
: »ÀÀÌ½Ä ÀÓÇöõÆ®
Ä¡Á¶°ñÀÌ½Ä ÀÓÇöõÆ®
Ä«Å×°í¸®
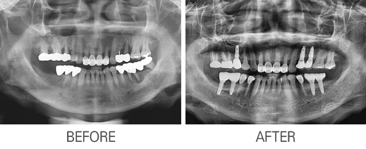
: »ÀÀÌ½Ä ÀÓÇöõÆ®
Ä¡Á¶°ñÀÌ½Ä ÀÓÇöõÆ®
Ä«Å×°í¸®
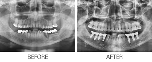
: »ÀÀÌ½Ä ÀÓÇöõÆ®
Ä¡Á¶°ñÀÌ½Ä ÀÓÇöõÆ®
Ä«Å×°í¸®
: »ÀÀÌ½Ä ÀÓÇöõÆ®
Ä¡Á¶°ñÀÌ½Ä ÀÓÇöõÆ®
Ä«Å×°í¸®
: »ÀÀÌ½Ä ÀÓÇöõÆ®
1
2
Á¦¸ñ
ÀÛ¼ºÀÚ
³»¿ë